case of breathlessness
Hi every one ,this is student of 4th yr MBBS .I was given the case which is in the link below:
https://saikiranpatnam.blogspot.com/2020/05/medicine-case.html?m=1
Case:
A 30 yr old male patient came with the chief complaints of:
- Palpitations.
 - Dyspnea.
 - Pedal edema.
 
Palpitations:
- The patient has history of palpitations since 1 yr which were persistant and precipitated on exertion and relieved on rest.
 - Palpitations can be heart related or other causes.
 - Since it is the case of long duration and persistant palpitations, it has the differential diagnosis of heart related disordes:
 - High blood pressure:Blood pressure is normal(120/70 mmHg)
 - Abnormal heart valves
 - Coronary artery disease
 - Heart Failure:
 - On cardiac examination , Right venticular heave is seen and even associated with raised JVP with prominent a wave .
 - Raised JVP indicates high venous pressure , most probable for heart failure.
 - Associated with right ventricular heave indicating right venticular hypertrophy.
 - This shows the probable diagnosis for Right venticular failure.
 - Other causes can be like :
 - Medical conditions like thyroid disease, anemia, low blood sugar levels.
 - Thyroid disease:
 - Thyroid harmone levels effects on the heart rate and cholestrol levels of a person.
 - Should go for thyroid profile.
 - As patient with 1 yr of palpitations not associated with any other symptoms of thyroid disease like weight gain or loss, weakness in muscles and joints, the effect of thyroid harmone can be ruled out, even though mild changes are present.
 - Anemia:
 - should check for complete blood picture
 - The patient is anemic.
 - Low blood sugar levels:
 - insufficient blood sugar levels in the body can cause rapid heart rate and palpitations.
 - Should check for sugar levels.
 - The patient has normal blood glucose levels.
 
- The patient has dyspnoea associated with dry cough since 15 days.
 - The patient can have a lung disease and as even associated with palpitations can be heart disease.
 - Lung diseases associated with dyspnoea and dry cough:
 - COPD
 - Asthma
 - Pulmonary hypertension:
 - causes narrowing or hardening of arteries.
 - Heart disease :
 - Heart failure.
 - Reduced blood flow from the heart leads to impaired skeletal muscle blood supply on exertion.
 - Valvular heart disease.
 - Impaires the blood flow to the lungs.
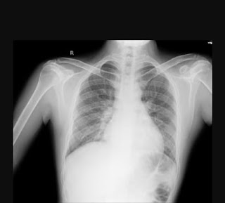
 - In the x ray of the patient:
 - There is no hyperinflation of the lung seen, hence COPD, Asthama can be ruled out.
 - There is prominent bilateral pulmonary arteries indicating Pulmonary hypertension.
 - Liver disease :
 - The patients LFT shows normal bilirubin levels ,elevated ALP levels.
 
- Pedal edema can be due to the above abnormalities.
 
Provisional diagnosis:
- Right ventricular failure associated with pulmonary hypertension.
 - The elevated ALP may be is associated with heart failure.
 
- The patient should be treated with Diuretics to remove the excessive fluid in the body and to prevent edema.
 





Hello,
ReplyDeleteVery nice analysis and I can see you have invested quite a lot of energy into creating your blog. Your analysis is based on Sai Kiran's blog which incorrectly reported history fk dyspnea since 15 days. However the patient had been having dyspnea since 8 months and that alters the diagnosis significantly. I'd suggest you go through Dr. Vidya's blog where a slightly different version of his life events have been narrated which may give you a clearer picture of his disease.
I'd also strongly suggest not to look at every symptom individually but rather an analysis of a combination of palpitations, exertional dyspnea and blacking out are part of. Ideally avoid listing out causes of each symptom because you'd be surprised to know that several causes listed in textbooks have been disproven by system 2 analysis.
The patient also had a waddling gait and an exaggerated lumbar lordosis as reported in Vidya's blog here.
vidya8829.blogspot.com
Hoping for some good analysis.
P.S. Try to employ the problem representation approach. Which includes identifying who is the patient (where he is from, what he does and how his life is in general and also recent sexual and travel history of available) and the next step would be to define the disease spectrum - in this case - Palpitations followed by exertional and progressive dyspnoea followed by episodes of blacking out followed by new onset dry cough. And lastly you have to identify the clinical duration wherein you try to fit all his symptoms under one single unifying diagnosis that explains all his problems.
Good luck and keep up the good work :)
Thank you sir for correcting my mistakes and i will surely go to the correct history and try to analyze the case.
ReplyDelete